一、HCC高危人群的定义
肝细胞癌(HCC)的发生与多种危险因素密切相关,根据国内外权威指南,以下人群被定义为HCC高危或极高危人群:
1.肝硬化患者
肝硬化是HCC最主要的病理基础,无论病因(如病毒性肝炎、酒精性肝病、非酒精性脂肪性肝炎等),肝硬化患者的HCC年发病率可达1%-8%。中国《原发性肝癌诊疗规范(2019年版)》明确将肝硬化列为高危人群。
2.慢性乙型肝炎(HBV)或丙型肝炎(HCV)感染者
HBV感染者:年龄≥30岁、男性、有HCC家族史、合并肝硬化或代谢综合征(如糖尿病、肥胖)者风险显著增加。
HCV感染者:即使病毒清除后,伴晚期纤维化的患者仍需监测。
3.其他慢性肝病患者
长期酗酒、非酒精性脂肪性肝炎(NASH)、自身免疫性肝病、遗传代谢性肝病(如Wilson病)等,尤其是合并肝硬化或代谢功能障碍者。
4.特殊暴露与遗传因素
黄曲霉毒素污染饮食暴露、肝癌家族史(尤其是一级亲属)以及某些遗传性肝病(如血色病)患者。
5.极高危人群
包括HBV/HCV相关肝硬化、肝硬化背景下的高度异型增生结节(HGDN),以及既往HCC治疗后复发风险高的患者。
二、影像学检查在HCC筛查与诊断中的作用
肝癌的早期诊断直接影响预后,那肝癌的早期诊断靠什么呢?甲胎蛋白(AFP)吗?
在临床上所有的肝癌中,大概只有约60%的肝癌患者AFP会升高,还有约40%的患者AFP是阴性的;如果是早期小肝癌约只有20%的患者AFP会升高,有80%的患者AFP是阴性,这就意味着靠AFP的异常去筛查早期肝癌是存在很大漏诊风险的。

北京友谊医院肝病中心对378例慢性乙肝患者随访了10年,影像学随访包括超声、CT或MRI,筛查出29例肝癌,仅有2例AFP轻微升高,但未达到诊断标准,其余27例AFP均正常。影像学检查是HCC早期发现和诊断的核心手段,主要包括超声、CT、MRI,那有肝硬化背景的高危人群该选择哪一种检查呢?接下来先让我们一起看看国内外指南怎么说的吧!
1.初始筛查与常规随访:
首选超声+AFP,每6个月一次。这是全球肝病学会指南推荐的标准方案。对于超声图像质量好、肝硬化程度较轻的患者,此方案足以满足筛查需求
2.诊断阶段:当超声发现可疑结节或AFP升高时进入诊断性检查阶段
第一步:行多期CT增强或MRI增强。若病灶直径≥2cm且符合典型HCC特征(动脉期强化+门静脉/延迟期廓清),可临床诊断HCC,无需活检。
第二步:若CT结果不典型或病灶直径1-2cm,需补充MRI增强。例如,肝特异性对比剂的肝胆期低信号对小HCC的诊断特异性可达90%以上。
第三步:若影像学仍无法确诊,需在超声或CT引导下活检。
了解了指南的检查流程,每个有肝癌高危因素的人都应遵循指南流程进行检查吗?我们再看看这三种检查的优缺点吧!(见下图)

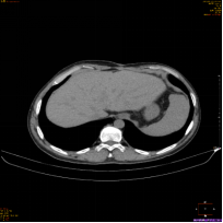
(图1)
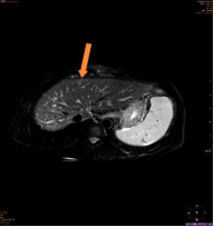
(图2)
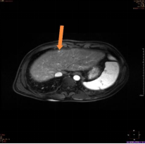
(图3)
(图4)
上图为一名53岁男性,乙肝、肝硬化随访复查,AFP及超声检查均为阴性;图1为腹部CT平扫显示,肝左叶体积增大,肝实质内未见明确异常密度结节及肿块;图2、图3分别为磁共振平扫T2WI、弥散成像显示,肝左内叶上段见一直径为0.8cm的稍高信号结节(箭头所示);图4为T1WI增强动脉期显示,该结节动脉期高强化(箭头所示);该病人为肝癌高危人群,磁共振扫描高度怀疑此异常信号结节为早期小肝癌,患者遂到上级医院手术,术后病理证实为肝细胞肝癌。
基于上述检查的优缺点和临床实践,肝癌(HCC)高危人群的筛查满足以下条件者我们优先推荐高场MRI平扫+弥散成像:1、没有MRI检查禁忌症;2、能配合MR检查(如呼吸平稳、规律,需约15-30分钟平躺等);3、不考虑检查费用高;4、对碘过敏者;当发现异常信号结节时,再加做肝特异性对比剂增强。
推荐CT平扫+增强的情况:1、当超声发现可疑结节或AFP升高且不能进行MRI检查(如有MRI检查禁忌症、不能配合MRI检查);2、需要快速进行全身分期,了解有无肝外转移;3、医院MRI资源紧张或无法承受MRI检查费用。
推荐超声检查的情况:1、不能进行MRI检查(如有MRI检查禁忌症、不能配合MRI检查);2、无法承受MRI、CT检查费用;3、对碘过敏者。
注:以上内容仅为科普,不能代表专业医嘱,如出现症状,请及时到医院就医。
参考文献
1.李宏军;罗佳文;张琰;熊婧彤;刘绍玲;乙型肝炎病毒相关早期肝细胞癌影像学检查与诊断标准共识 [J]. 中国医学影像技术,2021,37(1):1-7
2.肝脏影像报告及数据管理系统 (LI-RADS) 对肝癌 CT 及 MRI 影像特征比较分析研究 [J]. 现代医用影像学,2019.
3.原发性肝癌诊疗指南(2024年版)
供稿 | 医学影像科(放射)文义勇