依据CT、核磁等影像资料,对身体是否存在病变作出专业判断,这就是影像科医生。他们虽不承担内科医生开药、外科医生手术的工作,却能从黑白影像中精准排查身体隐患,为临床诊疗提供关键依据。那他们工作方式是怎样的呢?

一、“读懂身体的‘内部照片’”
影像科医生是“读片高手”,能从“海量画面”里找线索,而读懂这些线索,得有两项“硬技能”:
1.能在“海量影像”里抓“小问题”——像“侦探找线索”
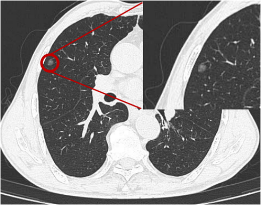
CT、核磁的影像不是一张图,而是成百上千帧的“连续画面”(比如胸部CT可能有几百或者几千层)。影像科医生要一帧帧看,哪怕是比芝麻还小的病灶(比如肺部3毫米的微小结节、肝脏里的小囊肿),也得揪出来。
例如一位患者咳嗽很久,影像科医生看CT可以精准指出“炎症在右肺下叶,是局限性小病灶”。这种能力源于其对解剖学、病理学的深入理解,以及长期训练练就的“火眼金睛”。
2.能“结合病史”辨“真假问题”——不只看片,还会“推理”
影像科医生判读影像不能仅看画面,还需结合临床信息。如肺部阴影,年轻人多为普通炎症,老年人有吸烟史则需警惕;肝脏小肿块,需区分患者有无乙肝病史。发现肺部结节时,会结合年龄、吸烟史、家族病史等,排除假阳性、避免误判,精准判断结节性质。

二、“幕后工作者”
和内科、外科医生“直面患者”的工作模式比,影像科医生作为“幕后”的“导航员”,有两个明显特点:
1.大部分时间在“读片室”,是“幕后工作者”
做CT时,影像技师负责操作机器,影像科医生通常在单独读片室,对着高分辨率屏幕阅片、写报告,较少直接与患者问诊,更多围绕“片子”开展工作。其报告不仅描述病变,还会给出“建议增强CT进一步评估”等专业建议,需对不同影像设备特性了然于胸,为临床诊疗提供关键支撑。
2.对“设备”特别熟,知道“哪种检查最适合”
不同影像设备“擅长领域”不同:X光适用于看骨头(如骨折),CT适用于看肺部、急诊出血,核磁适用于看软组织(如膝盖韧带、脑部)。影像科医生需精准掌握设备特性,还能依患者情况建议检查类型。如患者膝盖疼,其会判断做核磁更合适,因X光无法显示韧带,核磁可清晰呈现软组织,专业性源于对设备原理的深入理解及ACR等机构检查规范。

影像科医生是临床诊疗的“眼睛”、疾病诊断的“侦察兵”。他们凭借专业读片能力洞悉人体内部病灶,为各临床科室提供精准诊断线索。每份影像报告背后,都是医生对成百上千帧影像的细致排查,及结合患者病史的严谨推理。
参考文献:
[1] Hartung M P, Bickle I C, Gaillard F, et al. How to create a great radiology report[J]. Radiographics, 2020, 40(6): 1658-1670.
[2] Lee B, Whitehead M T. Radiology reports: what you think you’re saying and what they think you’re saying[J]. Current Problems in Diagnostic Radiology, 2017, 46(3): 186-195.
[3] Sardanelli F, Hunink M G, Gilbert F J, et al. Evidence-based radiology: why and how?[J]. European Radiology, 2010, 20(1): 1-15.
[4] 陈建宇. 医学影像学中影像诊断思维教学法探讨[J]. 基础医学教育, 2012(第 10 期): 791-793.
[5] 李坤成. 医学影像学在现代医学中的作用[J]. 医海观潮, 2010(8): 54-56.
[6] 汪正聪. 论临床医疗中医学影像的重要性[J]. 养生保健指南: 医药研究, 2015 (9): 156-156.
黄秀峰, 马德智, 陆晓生, 等. 医学影像专业人才培养模式研究[M]. 重庆大学电子音像出版社有限公司, 2022.
注:以上内容仅为科普,不能代替专业医嘱,如出现症状,请及时到医院就医。
部分图片来源于网络,如有侵权,请联系删除。
供稿 | 医学影像科(放射) 贺国中